Large numbers of neutrophils in body fluid may indicate bacterial infection. In CSF, it is indicative of bacterial meningitis.
Appearance
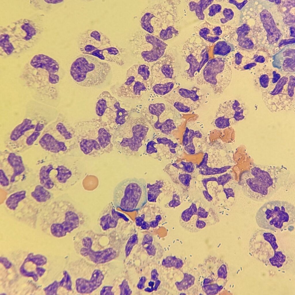
Neutrophils in body fluids appear the same as they do in peripheral blood with fine pink granules. Cytocentrifugation may stretch the cell or cause the granules to appear larger than normal.

Lookalikes
Cytocentrifugation may make granules in neutrophils appear larger which may be confused for eosinophils. However, neutrophil granules will not have the refractile quality seen in eosinophils or the vibrant reddish-orange coloring.
Gallery












