Babesia is a tick-borne parasite that causes babesiosis. Infection is rare in the United States and usually only affects susceptible populations such as the elderly, immunocompromised, or splenoctomized patients.
Appearance
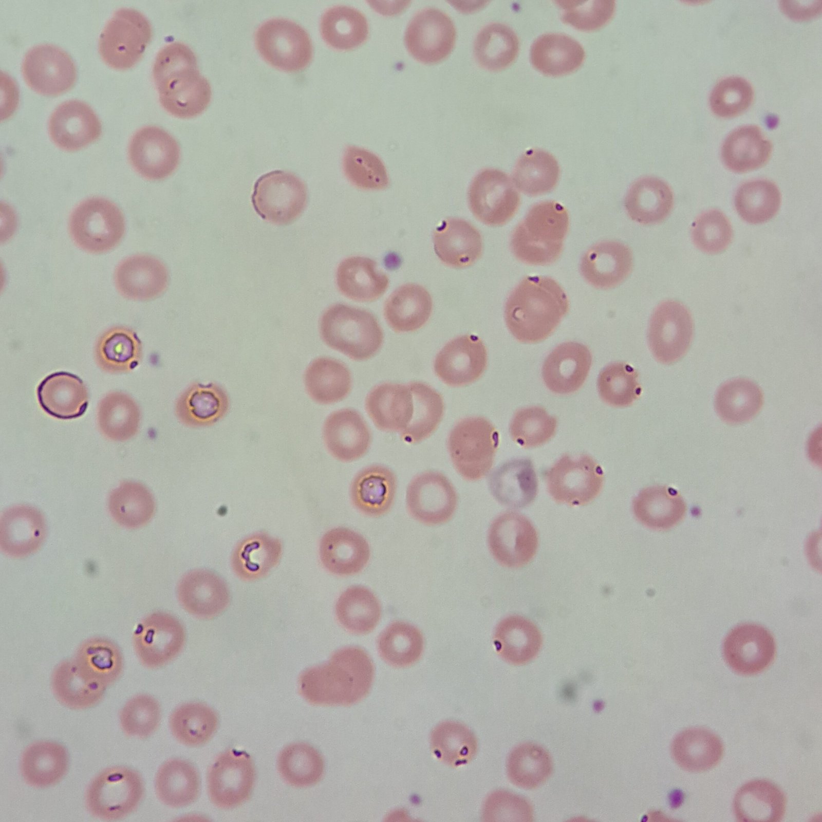
Babesia may appear as rings or tetrads in the cytoplasm of a red blood cell.
Lookalikes
Water artifacts can appear as rings in a red blood cell. However, they are highly refractile. If morphology cannot be distinguished, make a new slide.
Plasmodium species can look similar to babesia. Patient history can help in identification.
Platelets can sometimes sit on top of a red blood cell, appearing as though they are an inclusion. However, these overlying platelets have a sort of “halo” around them. They can be easily compared to the other platelets in the smear for identification.










