Schistocytes are fragmented red blood cells that form when cells are torn by mechanical forces. This could be caused by a mechanical heart valve or fibrin strands in the blood vessels.
They are seen in Disseminated Intravascular Coagulation (DIC), Thrombotic Thrombocytopenic Purpura (TTP), and microangiopathic hemolytic anemias.
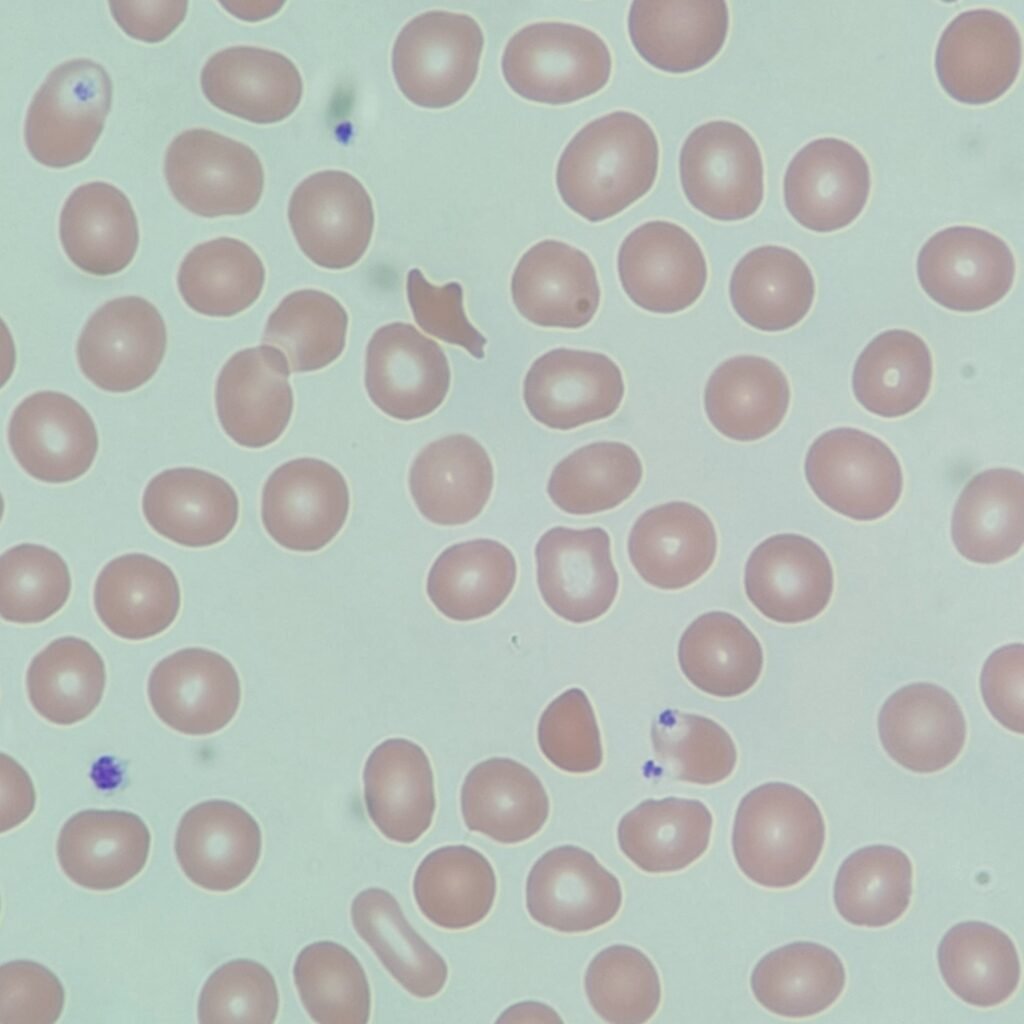
Appearance
Schistocytes are fragmented red blood cells that lack central pallor and have pointed ends or projections. They may be triangular, irregular, or helmet-shaped (AKA bite cells).

Quick Summary
- Morphology/Appearance:
- Pointed ends or projections
- May be triangular, irregular, or helmet-shaped
- Typically lack central pallor
- Clinical Significance:
- Disseminated Intravascular Coagulation (DIC)
- Thrombotic Thrombocytopenic Purpura (TTP)
- Microangiopathic Hemolytic Anemias.
Gallery

Additional Resources
For educational and reference purposes only, this is not medical advice.
Authored by Rachel Harper, Medical Laboratory Scientist (ASCP)
Last reviewed: February 2026












